Crowns

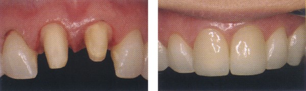
Photograph of patient's teeth before and after crowns

What are they?

The crown of a tooth is that part which is visible in the mouth. An artificial crown is used to protect and restore a broken, weakened or heavily filled tooth. They are also used to improve the appearance of discoloured or crooked teeth. Crowns are made of many different materials including metals and ceramics.

What will my dentist do?

  • The dentist will shape the tooth so that, when the artificial crown is fitted, it will be the same size and shape as a normal tooth.
  • Preparation time will depend on how damaged the tooth is and whether it needs to be built up first.
  • If the tooth has died or there isn't enough left to support the crown it may have to be root - filled first - this is sometimes called 'removing the nerve'. The crown is sometimes held in place by a peg in the root canal if a lot of the tooth is missing.
  • Your dentist will use a soft mouldable material to make an exact impression of what remains of the tooth that is to be crowned and the adjacent teeth.
  • A dental technician uses the impressions to make the crown.
  • A temporary crown made of plastic or metal is usually put over the tooth until the permanent crown is made. You can chew on a temporary crown but it won't be as strong as the finished one.
  • When the crown is fitted, your dentist may need to make small adjustments to make sure you can bite comfortably. The crown is tried on and then cemented into place.

What are the benefits?

  • A crown is strong and can look and feel exactly like a natural tooth. The colour and shape can be matched to your own teeth.
  • Depending on the strength of the tooth underneath, a crown can last for many years if you look after your mouth and teeth and the crown is not accidentally damaged.
  • Crowns can also improve your appearance.

© Stalybridge Dental Care 2009 - 2025

Last updated: 3 December 2025